Tel:400-969-9938

最新标准!自身免疫性小脑共济失调诊断标准更新

自身免疫性小脑共济失调,是一组由自身免疫机制引起的小脑综合征,包括副肿瘤性小脑共济失调和抗谷氨酸脱羧酶小脑共济失调等。根据是否由肿瘤诱发,ACA可分为副肿瘤性ACA和非副肿瘤性ACA。副肿瘤性ACA又称副肿瘤性小脑变性(PCD)。非副肿瘤性 ACA 一般包括抗谷氨酸脱羧酶(GAD)小脑共济失调 、原发性自身免疫性小脑共济失调(PACA)与谷蛋白共济失调( GA)等病因。这类疾病约占成人小脑共济失调病因的20%,是散发性小脑共济失调中重要且可治疗的病因。


01

精准诊断,新标准发布

新共识提出了一系列基于临床表现、脑脊液学、神经影像学、抗神经抗体与相关共病等综合诊断要素的ACA诊断标准。这些标准的制定,将使ACA的诊断更加精准和规范,为患者提供更有效的治疗方案。


02

发病机制:深入了解ACA的“内在敌人”

自身免疫性小脑共济失调(ACA)是一种由免疫系统错误攻击自身小脑组织引起的疾病。最新研究揭示了ACA与恶性肿瘤、前驱感染、麸质过敏等诱因之间的关联。特别是副肿瘤性小脑变性(PCD),它是由细胞免疫介导的,其相关自身抗体的靶抗原通常位于神经元内部,尽管抗体本身致病性不明显,但它们的存在是疾病诊断的关键线索。

致病性抗体:ACA的“直接参与者”

某些抗小脑抗体直接参与疾病的发生,被称为致病性抗体。例如,抗代谢型谷氨酸受体1(mGluR1)抗体和抗谷氨酸脱羧酶(GAD)抗体。这些抗体通过与特定受体结合,干扰神经元功能,导致小脑功能障碍。

抗GAD抗体:干扰GAD活性,影响γ-氨基丁酸(GABA)能神经元通路,导致小脑功能受损。抗mGluR1抗体:与神经元表面的mGluR1结合,减少其数量,影响小脑功能。


ACA的病因分类

不同病因的 ACA 在临床特征和预后等方面有所不同。ACA 多呈亚急性起病,也有急性起病者,个别病例隐匿起病。小脑共济失调是 ACA的核心症状,以步态共济失调最常见,其次为肢体共济失调、头晕(或眩晕)、构音障碍、眼震等。ACA也可合并小脑以外的神经系统损害以及神经系统以外的系统性自身免疫病。ACA 的主要病因分类包括以下6种:


No.1

副肿瘤性小脑共济失调:PNS的常见面貌

副肿瘤性小脑共济失调是副肿瘤神经综合征(PNS)的一种表现形式,它通过肿瘤诱发的异常免疫反应,对神经系统造成远隔影响。这种病症的存在,往往在肿瘤被发现之前就已显现出端倪。


♦ 抗Yo抗体:小脑共济失调的常见抗体

在副肿瘤性小脑共济失调中,抗Yo抗体扮演着核心角色。它主要针对小脑变性相关蛋白2样蛋白(CDR2L),与乳腺癌或女性生殖系统肿瘤有较高的关联度。患者通常表现为单纯的小脑综合征,且症状在肿瘤确诊前就已出现。

♦ 多样的PCD相关抗体

除了抗Yo抗体,副肿瘤性小脑变性(PCD)还与其他多种抗体有关,如抗Hu、抗Tr、抗Ri、抗KLHL11和抗两性蛋白(amphiphysin)抗体。

♦ 临床表现:从亚急性发病到多样症状

副肿瘤性小脑共济失调的临床表现多样,通常以亚急性方式发病,并可能在短短3个月内迅速进展至重度失能。在抗Yo和抗Tr抗体阳性的患者中,小脑症状占主导地位。然而,与其他抗体相关的PCD患者可能展现更广泛的症状,包括脑干脑炎、周围神经病或眼阵挛-肌阵挛综合征等。


No.2

抗GAD小脑共济失调:中老年女性的

隐匿挑战

抗谷氨酸脱羧酶(GAD)小脑共济失调是一种主要影响中老年女性的神经系统疾病,其起病方式多样,可能亚急性或隐匿,给诊断带来挑战。


♦ 抗GAD小脑共济失调:中老年女性的专属挑战

这种疾病多见于50至60岁的女性,其起病可能亚急性或隐匿,给早期诊断带来难度。

♦ 神经系统合并症:多样且复杂

患者可能合并多种神经系统疾病,如边缘叶脑炎、僵人综合征等,这些增加了疾病的复杂性。

♦ 自身免疫病的共存

抗GAD小脑共济失调患者也可能伴有其他器官特异性自身免疫病,包括1型糖尿病、白癜风、桥本甲状腺炎等,这提示了疾病之间可能存在的免疫学联系。

♦ 影像学特征:小脑萎缩的线索

对于隐匿起病的患者,颅脑磁共振成像(MRI)可能揭示小脑萎缩的迹象,为诊断提供线索。

♦ 肿瘤合并症:少数患者的双重打击

尽管大多数患者不伴有肿瘤,但仍有少数患者可能合并小细胞肺癌或胸腺瘤等肿瘤。


No.3

抗mGluR1小脑共济失调:

当学习与记忆的守护者受攻击

抗代谢型谷氨酸受体1(mGluR1)小脑共济失调是一种由特定抗体攻击引起的神经系统疾病,对患者的运动学习和认知功能构成威胁。


♦ mGluR1:小脑功能的关键角色

mGluR1受体在小脑浦肯野细胞的树突以及小脑的平行纤维和攀缘纤维中表达,对小脑的运动协调和学习过程起着至关重要的作用。

♦ 抗mGluR1抗体:致病性抗体的发现

抗mGluR1抗体是已知的致病性抗体之一,能够减少培养神经元上的mGluR1分子数量,影响小脑功能。在动物模型中,这种抗体的致病性已得到证实。

♦ 中老年患者的挑战

抗mGluR1抗体阳性的患者多为中老年人,他们可能会经历情绪性格的改变、精神行为异常以及认知功能的下降。这些小脑外症状对患者的日常生活构成了重大影响。

♦ 非副肿瘤性与肿瘤合并症

大多数抗mGluR1小脑共济失调患者表现为非副肿瘤性,但少数患者可能合并淋巴瘤等恶性肿瘤。

♦ 急性期的诊断线索

在疾病的急性期,头颅MRI可能显示小脑异常信号,并伴有脑膜强化,为诊断提供重要线索。

♦ 脑脊液检查的辅助作用

通过腰椎穿刺获取的脑脊液检查可能显示淋巴细胞的轻度升高或特异性寡克隆区带阳性,这些指标为诊断提供了辅助信息。


No.4

PACA:病因未明的挑战

PACA的确诊依据2020年国际工作组的标准,需要患者呈现急性或亚急性起病的单纯小脑综合征。然而,PACA的临床表现可能更为复杂。

♦ 临床表现:小脑共济失调及其他症状

除了小脑共济失调这一核心症状外,PACA患者可能还会出现锥体束征、周围神经或神经根病等其他神经系统表现。这些额外的症状增加了诊断的复杂性。

♦ "感染后小脑炎"与PACA

部分PACA患者可能在感冒、腹泻等前驱感染样症状后出现小脑炎,尽管他们可能没有确诊的感染病原学证据,但若存在相关抗小脑抗体阳性,也可以采用PACA的诊断标准。

♦ 自身免疫性疾病的合并症

PACA患者可能同时患有其他自身免疫性疾病,如桥本甲状腺炎、1型糖尿病、恶性贫血和白癜风,这表明PACA可能与免疫系统的广泛异常有关。


No.5

小脑共济失调:自身免疫性脑炎的共同线索

小脑共济失调是一种运动协调障碍,常见于多种自身免疫性脑炎,包括但不限于:

抗NMDAR脑炎:与N-甲基-D-天冬氨酸受体有关的脑炎。

抗DPPX脑炎:与二肽基肽酶样蛋白有关的脑炎。

抗LGI1脑炎:与富含亮氨酸的胶质瘤失活蛋白1有关的脑炎。

抗GABABR脑炎:与γ-氨基丁酸B型受体有关的脑炎。


♦ 临床表现:典型症状与小脑共济失调的交织

患者通常表现为精神行为异常、癫痫发作等自身免疫性脑炎的典型症状,并可能同时伴有小脑共济失调。在某些情况下,小脑共济失调可能作为首发症状出现。

♦ 抗NMDAR脑炎:儿童中的小脑共济失调

在抗NMDAR脑炎中,大约5%的患者会出现小脑共济失调症状,这一比例在儿童中尤为显著。这些症状往往在病程的后期阶段显现。

♦ 长期影响:小脑萎缩与不良预后

小脑共济失调可在脑炎症状缓解后持续存在,导致小脑萎缩,这与患者的长期预后紧密相关。


No.6

GA:麸质敏感性的神经系统体现

GA是西方国家中ACA的最常见原因,尤其在中年女性中较为普遍。这种疾病通常隐匿起病,患者不仅会出现小脑症状,还可能伴有其他神经系统症状。


♦ 临床表现:多样化的神经症状

GA的典型病例可能具有以下一种或多种临床表现:乳糜泻、疱疹样皮炎、周围神经病、肌阵挛。此外,GA患者还可能合并其他自身免疫性疾病,如1型糖尿病或桥本甲状腺炎。

♦ 诊断工具:抗体检测的重要性

在GA的诊断中,抗麦胶蛋白抗体和抗谷氨酰胺转移酶6(transglutaminase 6)抗体的检测具有重要的参考价值。这些抗体的存在有助于识别麸质过敏对神经系统的影响。

♦ 遗传标记:HLA-DQ2和HLA-DQ8的角色

GA的诊断还涉及到遗传标记的检测。HLA-DQ2及HLA-DQ8阳性是支持GA诊断的重要指标。


辅助检查与评估流程

No.1

脑脊液与抗体检查

♦ 脑脊液检查:脑脊液(CSF)检查为ACA的诊断提供了重要信息

白细胞数:可能轻度升高或正常。

细胞学:可能显示淋巴细胞性炎症。

特异性寡克隆区带:可能呈阳性反应。

♦ 抗神经抗体检测:诊断标志物的关键

抗神经抗体,尤其是针对小脑浦肯野细胞抗原的抗体,是ACA诊断中的重要标志物。目前已知约30种相关抗体,并且随着研究的深入,不断有新抗体被发现和鉴定。

♦ 检测方法:基于细胞和组织的检测

基于细胞的检测法(CBA):一种常用的检测方法。

基于组织的检测法(TBA):用于进一步确认CBA或免疫印迹法阳性的罕见抗体。

免疫印迹膜条法:部分抗体的检测可采用此方法。


♦ 检测建议:标准化与质控

推荐使用商品化或标准化的CBA和免疫印迹膜条法试剂盒进行检测。对于罕见抗体和新发现的抗体,建议采用严格质控的实验室自建检测方法。

♦ 抗GAD抗体检测:多方法并用

抗谷氨酸脱羧酶(GAD)抗体的检测可以通过以下方法:CBA、免疫印迹法、酶联免疫吸附测定(ELISA)、放射免疫法,ELISA方法具有较高的敏感度,能够检测到正常人群中低水平的抗GAD抗体。

♦ 诊断意义:鞘内合成的证据

- 脑脊液抗GAD抗体阳性且具有鞘内抗GAD抗体合成的证据,对抗GAD小脑共济失调具有诊断意义。

- (CSF抗体滴度/血清抗体滴度)∶(CSF白蛋白浓度/血清白蛋白浓度)的比值>1,可作为抗体鞘内合成的依据。


No.2

神经影像学

♦ 病程早期的MRI表现

在ACA的早期阶段,头颅MRI检查通常显示为正常,但对少数患者而言,可能会观察到以下异常:

- 小脑半球和蚓部:可能出现斑片状异常信号。

- 轻度强化:在急性期,这些异常信号可能伴随轻度强化。

患者1:左侧小脑半球片状异常信号(A)。患者2:双侧小脑皮质轻微强化(B)。


♦ 正电子发射计算机体层摄影(PET-CT)

小脑高代谢:PET-CT在病程早期可能显示小脑区域的高代谢状态,这可以作为诊断的一个参考指标。

♦ 疾病进展期的MRI表现

随着ACA的进展,头颅MRI可能揭示以下变化:

小脑萎缩:小脑体积减小,反映了疾病的慢性进展。

代谢减低:PET-CT可能显示小脑代谢活动的降低。


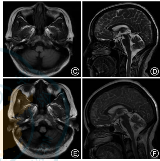
患者 3:病程 16个月时,头颅 MRI示小脑及脑干

大致正常(C、D);病程32个月时,头颅MRI示小脑脑干萎缩(E、 F)

♦ 后遗症期的特殊表现

小脑明显萎缩:伴随脑桥“十字面包征”,这是一种特征性的神经影像学表现(图 2C~F)。

♦ 全身PET-CT的应用

系统性肿瘤的发现:全身PET-CT对于检测潜在的系统性肿瘤非常有帮助,尤其是在副肿瘤性小脑共济失调的诊断中。


No.3

系统性检查

抗甲状腺抗体、甲状腺功能、干燥综合征相关检查有助于发现并存的其他自身免疫性疾病;对GA 患者可完善消化吸收功能及内镜检查,小肠绒毛萎缩、隐窝增生、上皮内淋巴细胞或浆细胞浸润支持乳糜泻诊断;在合并典型PNS表现或肿瘤高风险的抗神经抗体阳性患者中,应完善肿瘤筛查。


No.4

基因检测

遗传性疾病是导致小脑共济失调的重要原因,特别是在具有家族史或起病时小脑萎缩明显的患者中。


♦ 基因检查的适用情况

对于以下情况的小脑共济失调病例,进行遗传性小脑共济失调的基因检查是必要的:

1.难以确诊的病例;2.有共济失调家族史的患者;3.起病时小脑萎缩明显的患者。

♦ 遗传性共济失调的复杂性

由于遗传性共济失调的疾病种类繁多,遗传方式多样,因此需要根据患者的具体情况制定基因检测的流程。

♦ 推荐的基因检测方法包括:

全外显子组测序:可以检测患者所有编码蛋白质的基因区域。

动态突变检测:用于识别那些拷贝数会变化的遗传变异。

♦ 确定基因检测流程的依据

在制定基因检测流程时,应考虑患者的临床特点、患者的家族史、人群流行病学数据。


No.5

检查评估项目

ACA的诊断需要综合患者的临床表现、脑脊液 检查、神经影像学和遗传学等结果,进行合理的鉴 别诊断,才能确诊。


诊断与鉴别诊断

No.1

PCD的诊断标准

♦ PCD诊断的三个要素

确诊PCD必须同时满足以下三个要素:

① 小脑综合征**:患者表现出小脑功能障碍的临床症状。

② 抗神经抗体阳性**:血液或脑脊液中检测到针对神经元的特定抗体。

③ 恶性肿瘤**:存在恶性肿瘤,并且其类型与临床表现及抗神经抗体相符合。

♦ PCD诊断的三个级别

根据2021年PNS诊断标准,PCD的诊断水平分为三个级别:

级别一:确诊的PCD:满足所有诊断要素。

级别二:很可能的PCD:几乎满足所有诊断要素,但可能缺乏部分证据。

级别三:可能的PCD:部分满足诊断要素,需要进一步的证据支持。

♦ PCD相关抗体与恶性肿瘤

PCD的诊断还涉及到特定抗体与相关恶性肿瘤的关联,例如:

抗Yo抗体:与乳腺癌或卵巢癌相关。

抗Tr抗体:与霍奇金淋巴瘤相关。

抗KLHL11抗体:与生殖细胞瘤相关。

抗SOX1抗体:与小细胞肺癌相关。

抗PCA2抗体:与肺癌或乳腺癌相关。

抗Ri抗体:与乳腺癌或肺癌相关。

♦ 肿瘤筛查的重要性

对于肿瘤高风险抗体阳性的患者,即使初次肿瘤筛查结果为阴性,也应在随诊中继续定期进行肿瘤筛查。

2021年PNS诊断标准的“确诊标准”相较于2004年的标准敏感度较低,但“很可能的诊断标准”在某些情况下可以达到2004年的确诊标准。因此,在临床工作中,对于“很可能的PCD”患者也应给予积极的诊断和治疗。


No.2

抗GAD小脑共济失调的诊断标准

专家组参考 Graus 等 关于抗 GAD 抗体相关 神经免疫病的诊断建议,制订了抗 GAD 小脑共济 失调诊断标准,并予以推荐。


No.3

PACA的诊断标准

根据前期中国PACA队列研究提出的PACA诊断标准,共识专家组对 2020 年国际工作组PACA 标准进行了调整修订,并予以推荐。 确诊PACA需要同时符合诊断标准中的4项条件。


PACA 诊断相关抗体包括系统性自身免疫病相关抗体和小脑神经元相关抗体。

♦ PACA的诊断涉及两大类抗体:

系统性自身免疫病相关抗体:这些抗体与系统性自身免疫病有关,可能在PACA患者中被检测到。

小脑神经元相关抗体:这些抗体的靶蛋白通常参与小脑神经元的胞吞/胞吐过程或mGluR1介导的胞内信号通路。胞吞/胞吐过程相关蛋白: 抗Ca/ARHGAP26抗体、   抗TRIM9/67抗体;mGluR1介导的胞内信号通路相关蛋白:抗Sj/ITPR-1抗体、抗Homer-3抗体、抗PKCγ抗体。

♦ 抗体阳性的诊断意义

♦ 在PACA的诊断标准中,抗体阳性被视为可选的诊断条件,而不是必须满足的条件。


No.4

对于在中国人群中相对罕见的病种,如抗

mGluR1小脑共济失调、自身免疫性脑炎相关

小脑共济失调以及GA,由于缺乏公认的诊断

标准,诊断要点通常基于专家经验和文献

报道来提出

♦ 抗mGluR1小脑共济失调的诊断要点

①急性或者亚急性小脑共济失调,可合并脑病表现。

②脑脊液可有淋巴细胞轻度升高或者特异性寡克隆区带阳性。

③血清和(或)脑脊液抗mGluR1抗体阳性。

④除外其他病因。

♦ 自身免疫性脑炎相关小脑共济失调的诊断要点

①小脑共济失调与脑炎症状相继或同时出现。

②脑炎综合征与辅助检查结果符合自身免疫性脑炎的诊断标准(《中国自身免疫性脑炎诊治专 家共识(2022年版)》

③除外其他病因。

♦ GA的诊断要点

①隐匿起病的小脑共济失调,可合并感觉运动性周围神经病、肌阵挛等。

②可伴有乳糜泻、疱疹样皮炎等其他谷蛋白超敏表现,肠黏膜活组织检查可有小肠绒毛萎缩、隐窝增生、炎细胞浸润等改变。

③血清抗麦胶蛋白抗体阳性。

④除外其他病因。

ACA的诊断需要根据患者临床表现、血液及脑脊液检查、神经影像学与抗神经抗体检查等结果综合分析,同时进行合理的鉴别诊断,以除外感染性小脑炎、前庭神经炎、酒精及药物性、遗传性、退行性及肿瘤等其他病因。


ACA的神经功能评估

1.共济失调等级评价量表(SARA):SARA量表是评估小脑共济失调的一种量表,它能够全面反映小脑共济失调累及的范围和程度,是目前最常用的ACA功能评估方法。该量表包括步态、站姿、坐姿、构音不良、手指追踪试验和指鼻试验等项目,每个项目根据患者的完成情况有不同的评分标准。


2.国际协作共济失调评估量表(ICARS):ICARS量表评分项目较多,比SARA更为精细,包括了眼球运动评估。然而,评估用时偏长。该量表包括姿势和步态障碍、动态功能、语言障碍以及跟球运动障碍等方面的评估。


3. 改良Rankin量表(mRS):mRS量表简便易行,主要用于反映患者整体的神经功能状态。但是,mRS不是小脑共济失调的专用量表,因此不能体现眼球运动、构音与上肢功能等情况。



总之,ACA以急性或者亚急性起病的小脑共济失调为主要表现,抗神经抗体检测对 ACA 的诊断具有重要意义。ACA包括多种病因,确诊需要综合临床表现、脑脊液学、神经影像学、抗神经抗体与相关共病等要素。共识推荐了 ACA 诊断标准,旨在为医师的诊断决策提供参考依据,促进及时、规范的诊断,提高诊疗水平。




分享到:
客服电话
028-8948 2318
地址:成都市温江区成都医学城三医创新中心三期六栋